Atelektazi Nedir?
Atelektazi, akciğer dokusunun bir bölümünün ya da tamamının sönmesi yani hava ile dolmaması durumudur. Bu durumda akciğerin etkilenen kısmı görevini yapamaz ve vücudun oksijen alımı zorlaşır. Özellikle ameliyat sonrası ya da uzun süreli yatışlarda sık görülür.

Atelektazinin Nedenleri
-
Ameliyat sonrası: Anestezi ve hareketsizlik akciğerlerin tam kapasite çalışmasını engelleyebilir.
-
Hava yolu tıkanıklıkları: Mukus tıkaçları, yabancı cisimler veya tümörler bronşları kapatabilir.
-
Akciğer hastalıkları: KOAH, zatürre veya kistik fibrozis riski artırabilir.
-
Travmalar: Göğüs bölgesine alınan darbeler solunumu kısıtlayabilir.
-
Uzun süreli yatak istirahati: Derin nefes alıp verme azaldığı için atelektazi gelişebilir.
Atelektazi Belirtileri
Belirtiler akciğerin hangi bölgesinin etkilendiğine ve ne kadarının çöktüğüne bağlıdır. En sık görülen şikayetler:
-
Nefes darlığı
-
Göğüs ağrısı
-
Hızlı, yüzeysel solunum
-
Öksürük
-
Oksijen düşüklüğüne bağlı morarma
-
Şiddetli durumlarda bilinç bulanıklığı
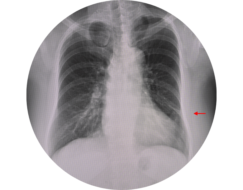
Atelektazi Nasıl Teşhis Edilir?
-
Fizik muayene: Solunum seslerinde azalma veya kaybolma
-
Akciğer röntgeni: En sık kullanılan yöntemdir.
-
Bilgisayarlı tomografi (BT): Detaylı görüntüleme sağlar.
-
Bronkoskopi: Tıkanıklığın sebebini doğrudan görme ve müdahale etme imkanı verir.
Atelektazi Tedavi Yöntemleri
-
Derin nefes egzersizleri ve spirometre kullanımı
-
Fizyoterapi ve postüral drenaj
-
Mukus tıkaçlarını temizleyici bronkoskopi
-
Oksijen desteği
-
Altta yatan hastalığın tedavisi (zatürre, KOAH, tümör vb.)
Ameliyat sonrası düzenli hareket etmek, derin nefes almak ve öksürük egzersizleri yapmak atelektaziyi önlemede oldukça etkilidir.
Atelektazi Hakkında Sık Sorulan Sorular
Atelektazi, erken teşhis ve uygun tedavi ile kontrol altına alınabilen ciddi bir akciğer problemidir. Risk faktörlerini bilmek ve önleyici adımlar atmak, sağlıklı bir solunum sistemi için önemlidir.








